معرفی پلی کلينیک تخصصی دندانپزشکی راميار:
اين پلی کلينیک در مرداد ماه سال ۱۳۵۷ به عنوان اولين پلی کلينيک تخصصی دندانپزشکی کشور با ماموريت برقراری ارتباط ميان دندانپزشکان مجرب و بيماران به قصد انجام پروسه درمان با بالاترين کيفيت ممکن تاسيس و با تلاش های مستمر خود به همگان اثبات نمود که در سايه خودباوری و تعهد به کيفيت به اهداف بزرگی می توان دست يافت. در اين راستا پلی کلينيک…

پلی کلينیک تخصصی دندانپزشکی راميار
آخرین مقالات
پلی کلينیک تخصصی دندانپزشکی راميار
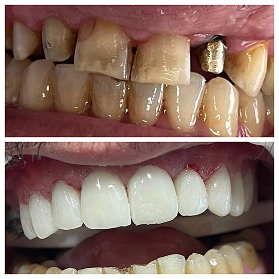
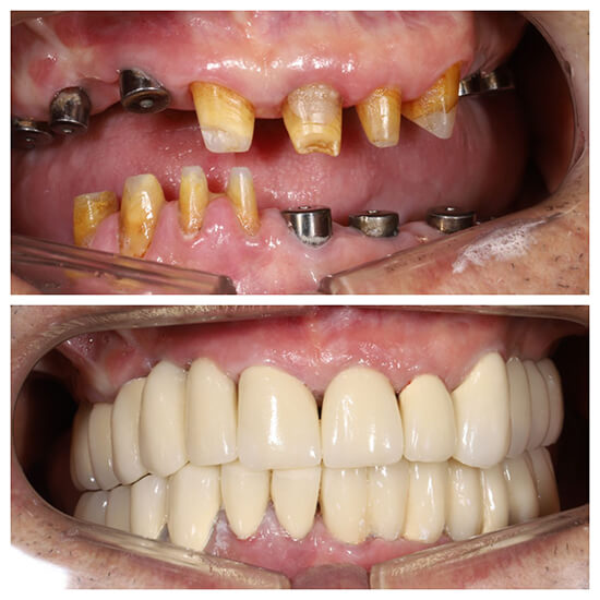
نمونه کارهای قبل و بعد






































